Axiocam 506 color
Axiocam 506 color 能在非常短时间内捕获样品大面积区域的图像。 此款 600 万像素的彩色相机拥有一个 1" 大小的传感器,对角线为 16 mm。结合大的像素(2752 水平像素 x 2208 垂直像素)可获得两倍于2/3 " 相机的观察视野。您将拥有出色的样品概览图像,并能在全分辨率下以高达每秒 19 幅图像的速
所属分类:
数码相机
咨询热线:
- 产品概述
- 技术特点
- 主要应用
-
Axiocam 506 color 能在非常短时间内捕获样品大面积区域的图像。
此款 600 万像素的彩色相机拥有一个 1" 大小的传感器,对角线为 16 mm。结合大的像素(2752 水平像素 x 2208 垂直像素)可获得两倍于2/3 " 相机的观察视野。您将拥有出色的样品概览图像,并能在全分辨率下以高达每秒 19 幅图像的速率完成超快速实时观测。
Axiocam 506 color 具备 1:2500 的动态范围 – 以无损图像品质呈现非常细微的色差和较丰富的细节信息。即使在长时间曝光条件下或对较暗的样品,Peltier 冷却装置均能确保低噪声和可重复的彩色图像质量。
关键词: -
样品大面积的快速扫描
高效运用显微镜视角:具有两倍于 2/3" 相机的观察视野,拥有出色的样品概览图像
使用 USB 3.0 接口与 PC 互连,数据传输速率达每秒 5 G
四端口高性能 CCD 传感器技术,可获得非常高图像采集速度
在全屏模式下以每秒 19 幅图像的速率完成快速实时成像,或以高达 33 fps 的高帧率观察 HDTV 图像
1:2500 的动态范围可实现理想色彩还原
4.54 µm 像素可实现细微结构的非常高分辨率成像

-
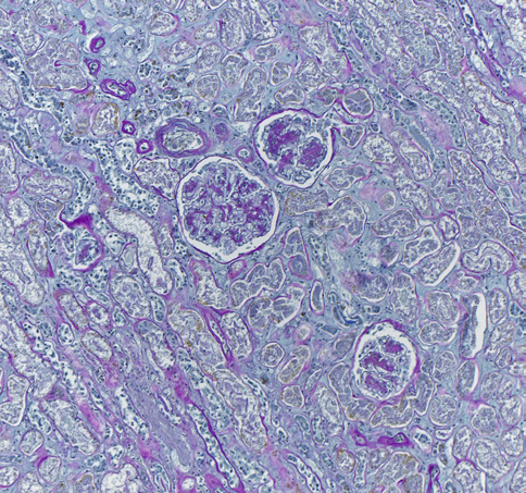
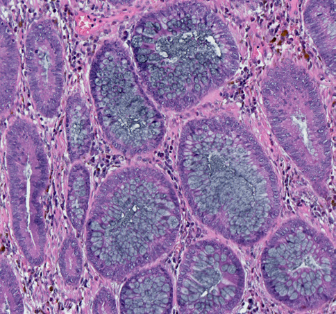
成 像 案 例


Human kidney, Azan staining, acquired with ZEISS Axio Imager,objective: Plan-APOCHROMAT 10× / 0.45 Human intestinal polyps, HE staining, acquired with ZEISS Axio Imager,objective: Plan-APOCHROMAT 20× / 0.8
相关产品
产品留言


